DC-80
от 2 350 000 ₽*
от 4 565 000 ₽*
Запросить КП

УЗИ аппарат

Mindray DC-80

Инновации и интеллект в Ваших руках

от 2 350 000 ₽*
от 4 565 000 ₽*
Вы экономите 2 215 000 ₽*

Mindray DC-80 – это ультразвуковой аппарат экспертного класса, который стал хорошим продолжателем модели DC-8. DC-80 X-Insight получил дополнительные усовершенствования, а именно технологию сдвиговой волны, позволяющей проводить диагностику мягких тканей на абсолютно высоком уровне.

Описание
Интеллектуальные функции как ведущий клинический тренд Теперь DC-80 использует передовые интеллектуальные возможности на всех стадиях исследования: от сбора данных, оптимизации изображений и расчетов до оптимизации протокола сканирования с помощью таких технологий как Smart Planet CNC, Smart FLC, Smart OB/NT, Smart Track, Auto EF, iTouch и iWorks.
Smart FLC Smart FLC автоматически определяет количество фолликулов и рассчитывает объем каждого из них, используя данные трехмерного изображения яичника, таким образом обеспечивается точная оценка размера фолликулов, что особенно важно при ЭКО.
3D с функцией Depth VR Основанный на информации о глубине, инновационный алгоритм 3D-визуализации обеспечивает получение более наглядного и объемного трехмерного изображения за счет добавления светового эффекта.
Датчики с технологией ComboWave По сравнению с традиционными датчиками, в датчиках с технологией ComboWave используется новый тип композитного пьезоэлектрического материала. Благодаря свойствам этого материала, оптимизируется акустический спектр и подавляются акустические шумы.
SmartTrack SmartTrack - это технология для сосудистых исследований от Mindray, которая позволяет сократить повторяющиеся и отнимающие много времени шаги во время исследования. Функция автоматически позиционирует допплеровскую рамку и изменяет угол ее наклона в режиме ЦДК, определяет положение и размер контрольного объема в режиме PW.
Монокристаллические датчики с технологией 3Т™ Благодаря сочетанию технологии 3Т™ (Тройной согласующий слой, технология полностью разделенных кристаллов, термоконтроль акустической линзы) и монокристаллических датчиков обеспечивается как более высокая разрешающая, так и проникающая способность, в результате чего решается проблема исследований технически сложных пациентов.
UWN+ CEUS UWN+ (Ультраширокополосная нелинейная визуализация) CEUS (Контраст-усиленная визуализация) позволяет обнаруживать и использовать как 2ю гармонику, так и нелинейный фундаментальный сигнал, генерируя изображение со значительным усилением сигнала, что повышает чувствительность даже к второстепенным сигналам и увеличивает продолжительность циркуляции контраста за счет более низкого MI.
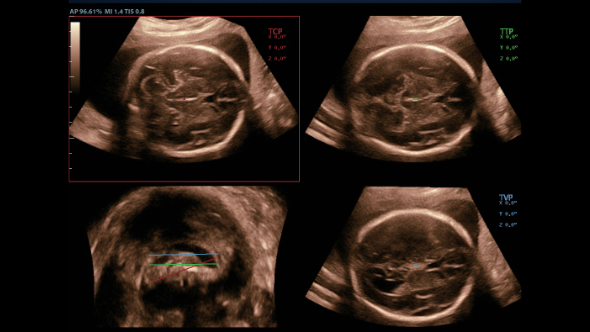
Smart Planes CNS Полностью автоматическое точное определение наиболее важных сечений и измерений для исследования головного мозга плода. Простым нажатием одной кнопки врач получает из 3D-изображения головного мозга плода 4 стандартных сечения: среднесагиттальное (MSP), чрезмозжечковое (TCP), чрезталамическое (TTP) и чрезжелудочковое (TVP); и 6 важнейший параметров расширенной биометрии плода: BPD, HC, OFD, TCD, CM и LVW.
Комплексное решение для эластографии DC-80 EXP поддерживает комплексное решения для исследований методом эластографии с лучшей в классе эластографией сдвиговой волной и компрессионной эластографией. Sound Touch Elastography (STE) позволяет получить 2D эластограмму в режиме реального времени и значение модуля Юнга с высокой точностью и воспроизводимостью. Sound Touch Quantification (STQ) с уникальным "E Avg" позволяет быстро в режиме реального времени оценить жесткость ткани печени и определить стадию фиброза. Natural Touch Elastography с функцией оценки "ободка" для анализа инфильтрации окружающих тканей позволяет эффективно и с высокой чувствительностью оценить жесткость тканей в щитовидной и молочных железах, гинекологии и урологии. Запатентованные методы эластографии сдвиговой волны STE и STQ могут обеспечить получение более быстрого и более точного изображения, отражающего количественную информацию об эластичности тканей, что удовлетворяет клинические потребности различных областей применения.
iNeedle Функция iNeedle (улучшения визуализации иглы) использует дополнительный наклонный ультразвуковой луч, перпендикулярный направлению иглы, при этом основной УЗ поток лучей (перпендикулярный рабочей поверхности датчика) также сохраняется. Пользователь может произвольно регулировать угол наклона.
Инновации которые расширяют Ваш опыт Улучшенная эргономика, интуитивно понятный интерфейс и интеллектуальные опции, превосходящие Ваши ожидания.
Характеристики
Тип
  • Стационарный
Класс Экспертный
Области применения
  • Общая визуализация
  • Кардиология
  • Гинекология и акушерство
Сегмент
  • Государственный
Количество активных разъемов для датчиков 5
Поддерживаемые датчики
  • Линейные
  • Конвексные
  • Микроконвексные
  • Секторные фазированные
  • Внутриполостные
Линейка DC
Поддержка особых датчиков
  • 3D/4D
  • Интраоперационные
  • Матричные
  • Монокристальные
  • Чреспищеводные TEE
Командный сенсорный дисплей Да
Уникальные технологии
  • X-Insight
Командный дисплей, диагональ 13.3
Эластография
  • Компрессионная
  • Сдвиговая волна
Жесткий диск, Гб 1000
Подогреватель геля Опция
Встроенная аккумуляторная батарея Да
Экран, "
  • 23,8
Wi-Fi Да
Твердотельный накопитель (SSD) Да
B-режим, Двухмерное сканирование (B-mode, Brightness) Да
M-режим (M-Mode) Да
Цветной M-режим (Color M-mode) Да
Дуплексное сканирование (В + В, В + М, В + D) Да
Триплексное сканирование (В + D + CFM) Да
Трапециевидное сканирование/Виртуальный конвекс (Trapezoid/ExFOV/TP-View) Да
Панорамное сканирование (iScape View/Logiq View/Sie Scape) Да
Режим B-сканирования с отклонением угла (B steer) Да
Импульсно-волновой допплер (PW, Pulsed Wave Doppler) Да
Постоянно-волновой допплер (CW, Continuous Wave Doppler) Да
Цветовой допплер, ЦДК (CFM, CFA, Color Doppler) Да
Высокочастотный импульсный допплер (HFPW или HPRF) Да
Энергетический допплер (PD Power Doppler, Energy Doppler) Да
Направленный энергетический допплер (DPD, Directional Power Doppler) Да
Тканевой допплер (TDI, TVI, TEI, TVD и TVM) Да
Режим полной автоматизации (Smart Doppler) Да
Автоматическая подстройка рамки допплера (Smart Track) Да
Компрессионная эластография (NTE, Elasto) Да
Эластография сдвиговой волной/Эластометрия (STE/STQ) Да
Трехмерная реконструкция методом свободной руки (Smart3D™, FreeHand 3D) Да
Объемное сканирование (4D, Real-time 3D) Да
Трехмерная реконструкция ЦДК (Color 3D) Да
Видео-обзоры
Прикрепленные файлы