Mindray MX5
Нет в продаже
Подобрать аналог

УЗИ аппарат

Mindray MX5

Универсальный УЗИ-аппарат.

Нет в продаже

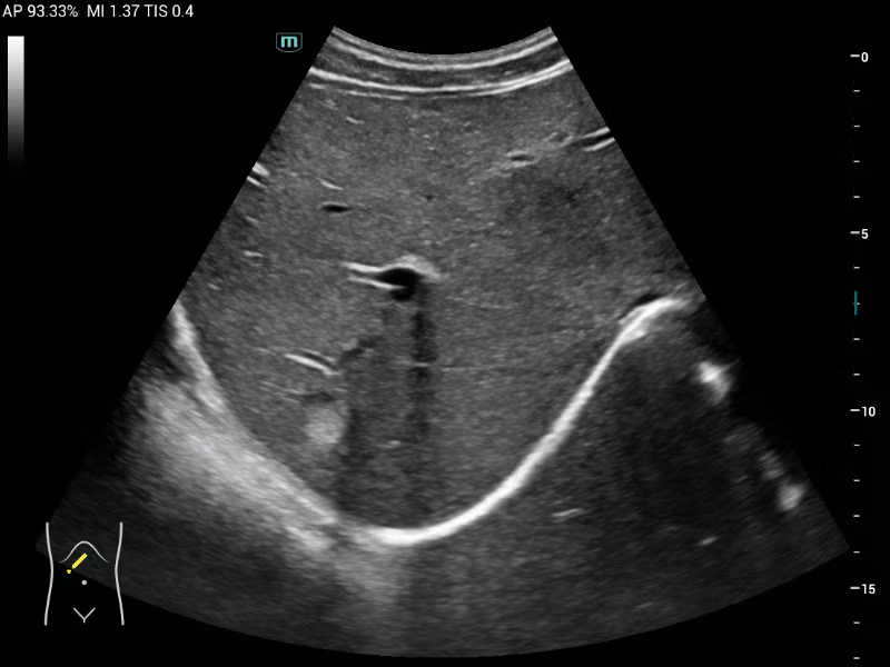
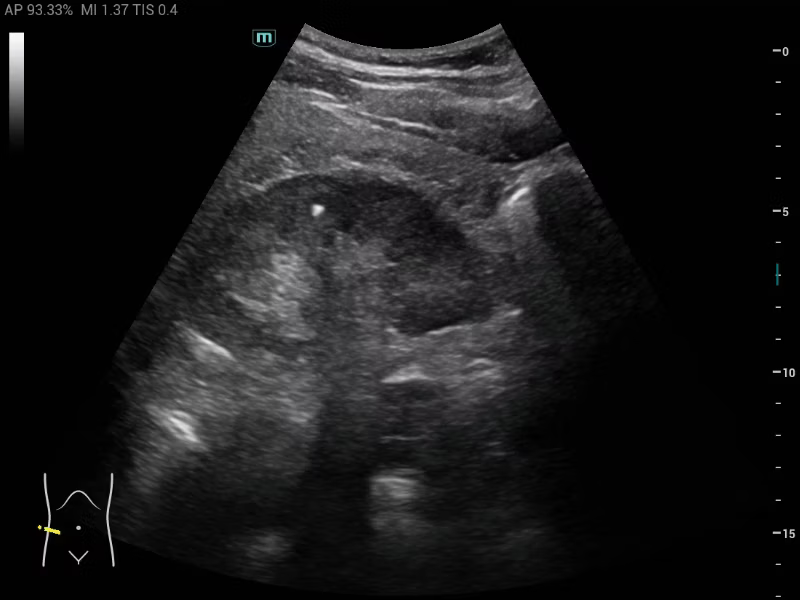
Портативный УЗИ-аппарат Mindray MX5 сочетает высокое качество визуализации с интеллектуальными функциями для абдоминальных, кардиологических и акушерских исследований. Система оснащена инструментами автоматизации измерений и возможностью удаленной коллаборации для повышения эффективности диагностики.

Описание
Обеспечение доступности качественной и точной диагностики Благодаря достижениям в области технологий медицинской визуализации и растущим клиническим потребностям ультразвук теперь используется в самых разных областях и сценариях. Руководствуясь миссией «Внедрение передовых медицинских технологий для повышения доступности здравоохранения», компания Mindray представляет новую компактную ультразвуковую систему MX. Уделяя особое внимание качеству визуализации, интеллектуальным решениям и максимальной портативности, компания предлагает медицинским работникам интеллектуальное, удобное и надёжное ультразвуковое решение, призванное сделать качественную визуализацию и эффективную диагностику более доступными.
Сердечно-сосудистая система AutoEF: инструмент для быстрой оценки систолической функции. RIMT: точная оценка толщины комплекса интима-медиа.
Уверенность в различных сферах применения MX предлагает специализированные интеллектуальные решения для различных клинических задач. Благодаря интеллектуальным и передовым функциям он упрощает работу врачей, повышая эффективность и точность диагностики, делая высококачественную медицинскую помощь доступной и надёжной.
Живот и мелкие части Smart Calc: инструмент для измерений и расчётов. Smart HRI: простая оценка стеатоза печени.
Улучшенные возможности визуализации Помимо интеллектуальных решений для клинических приложений, MX5 предлагает интеллектуальные ИТ-решения для визуализации. Он помогает врачам совершенствовать свои профессиональные навыки и расширять спектр услуг по визуализации, предоставляя им возможность эффективно улучшать свои навыки в области визуализации. Встроенные функции обучения в MX. Приложение MiCo+ для получения дополнительных учебных материалов. Комплексные решения для обмена изображениями. Удаленная совместная работа и обучение на MiCo+
Акушерство Smart Face: простой способ получить качественные изображения плода. Smart OB: автоматическое измерение ключевых параметров на экзаменах OB.
Опорно - двигательный аппарат CPP: автоматический расчёт процентного соотношения цветных пикселей. iNeedle: усовершенствование игл для процедур.
Характеристики
Область применения
  • Гинекология
  • Кардиология
  • Общая визуализация
Тип
  • Портативный
Класс Высокий
Сегмент
  • Частный
Количество активных разъемов для датчиков 2
Поддерживаемые датчики
  • Линейные
  • Конвексные
  • Микроконвексные
  • Секторные фазированные
  • Внутриполостные
Поддержка особых датчиков
  • 3D/4D
Жесткий диск, Гб 1000
Экран, "
  • 15
B-режим, Двухмерное сканирование (B-mode, Brightness) Да
M-режим (M-Mode) Да
Цветной M-режим (Color M-mode) Да
Дуплексное сканирование (В + В, В + М, В + D) Да
Триплексное сканирование (В + D + CFM) Да
Трапециевидное сканирование/Виртуальный конвекс (Trapezoid/ExFOV/TP-View) Да
Панорамное сканирование (iScape View/Logiq View/Sie Scape) Да
Анатомический М-режим Да
Режим B-сканирования с отклонением угла (B steer) Да
Импульсно-волновой допплер (PW, Pulsed Wave Doppler) Да
Постоянно-волновой допплер (CW, Continuous Wave Doppler) Да
Цветовой допплер, ЦДК (CFM, CFA, Color Doppler) Да
Высокочастотный импульсный допплер (HFPW или HPRF) Да
Энергетический допплер (PD Power Doppler, Energy Doppler) Да
Направленный энергетический допплер (DPD, Directional Power Doppler) Да
Тканевой допплер (TDI, TVI, TEI, TVD и TVM) Да
Компрессионная эластография (NTE, Elasto) Да
Трехмерная реконструкция методом свободной руки (Smart3D™, FreeHand 3D) Да
Объемное сканирование (4D, Real-time 3D) Да
Прикрепленные файлы